
Traditional expander

Back view (Traditional expander)
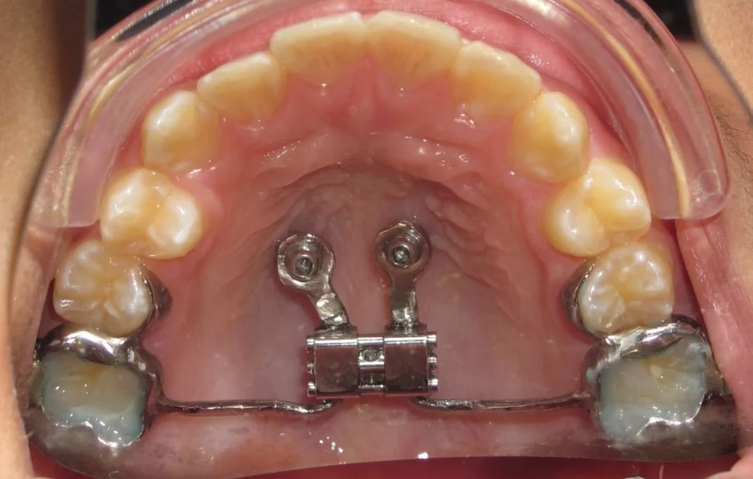
Micro-implant supported expander

Variation of micro-implant supported expander with hooks for reverse pull headgear
Placement of micro-implants prior to insertion of expander
Traditional expander
Back view (Traditional expander)
Micro-implant supported expander
Variation of micro-implant supported expander with hooks for reverse pull headgear
Placement of micro-implants prior to insertion of expander