0
Skip to Content
Northbrook Orthodontics:  Thomas Lim, DDS MS
Dr. Thomas Lim, DDS MS
Home
Request an appointment
Technology
Treatments
Northbrook Orthodontics:  Thomas Lim, DDS MS
Dr. Thomas Lim, DDS MS
Home
Request an appointment
Technology
Treatments
Dr. Thomas Lim, DDS MS
Home
Request an appointment
Technology
Treatments
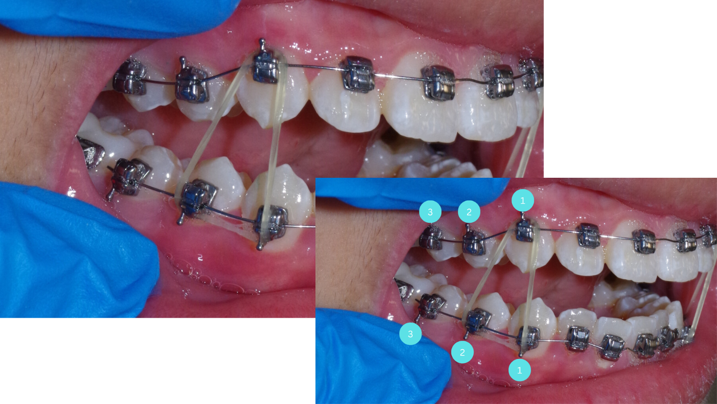
When giving instructions for where to attach your rubber bands, we will refer to teeth as the 1st, 2nd, 3rd, or 4th teeth with hooks. Notice that the incisor brackets do not have hooks at all. The first tooth (#1) with a hook is the canine. View fullsize

When giving instructions for where to attach your rubber bands, we will refer to teeth as the 1st, 2nd, 3rd, or 4th teeth with hooks. Notice that the incisor brackets do not have hooks at all. The first tooth (#1) with a hook is the canine.

The front incisor brackets do not have hooks.png View fullsize
In this example, the instructions given would be "Upper right #1" to "Lower right #1 and #2" View fullsize

In this example, the instructions given would be "Upper right #1" to "Lower right #1 and #2"

In this example the instructions would be upper #2 to lower #4 View fullsize

In this example the instructions would be upper #2 to lower #4

IMG_4179.png View fullsize
IMG_4176.png View fullsize
IMG_4177.png View fullsize
When giving instructions for where to attach your rubber bands, we will refer to teeth as the 1st, 2nd, 3rd, or 4th teeth with hooks. Notice that the incisor brackets do not have hooks at all. The first tooth (#1) with a hook is the canine.
The front incisor brackets do not have hooks.png
In this example, the instructions given would be "Upper right #1" to "Lower right #1 and #2"
In this example the instructions would be upper #2 to lower #4
IMG_4179.png
IMG_4176.png
IMG_4177.png