Class III Jaw Growth
Subject with Class III jaw growth
Same subject 4 years later: Upper incisors are proclined, and lower incisors occlude in front of the upper incisors.
Class III Jaw Growth
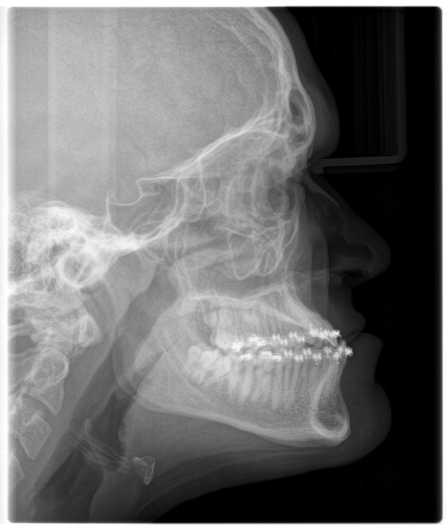
Subject with Class III jaw growth
Same subject 4 years later: Upper incisors are proclined, and lower incisors occlude in front of the upper incisors.